您的位置:首页 > 产品中心 > Anti-FMR1polyG Antibody, clone 8FM-2F7
Anti-FMR1polyG Antibody, clone 8FM-2F7

| 产品编号: | 4143881 |
| 规格: | ascites fluid, clone 8FM-2F7, from mouse |
| 包装规格: | 25 μL |
| 产品类别: | 进口试剂 |
| 品牌: | Sigma-Aldrich |
| 优惠价: | 立即咨询 |
产品别名
Anti-FMR1polyG Antibody, clone 8FM-2F7
Synaptic functional regulator FMR1, Fragile X mental retardation protein 1, FMRP, Protein FMR-1
基本信息
| eCl@ss | 32160702 |
| General description【一般描述】 | Synaptic functional regulator FMR1 (UniProt: Q06787; also known as Fragile X mental retardation protein 1, FMRP, Protein FMR-1) is encoded by the FMR1 gene (Gene ID: 2332) in human. FMR-1 is a multifunctional polyribosome-associated RNA-binding protein that plays a central role in neuronal development and synaptic plasticity through the regulation of alternative mRNA splicing, mRNA stability, mRNA dendritic transport and postsynaptic local protein synthesis of a subset of mRNAs. It plays a role in mRNA nuclear export and together with export factor NXF2, it is involved in the regulation of the NXF1 mRNA stability in neurons. It is also reported to stabilize the scaffolding postsynaptic density protein DLG4/PSD-95 and the myelin basic protein mRNAs in hippocampal neurons and glial cells, respectively and this stabilization is further increased in response to metabotropic glutamate receptor stimulation. A CGG repeat expansion (55-200) in the 5 UTR of FMR1 gene is reported to cause Fragile X-associated Tremor Ataxia Syndrome (FXTAS). The expanded CGG repeat is associated with elevated FMR1 mRNA expression that results and neurodegeneration. The CGG repeat expansion triggers repeat-associated non-ATG-initiated translation (RAN or RANT) within the 5 UTR of FMR1 mRNA, resulting in the production of fusion proteins (FMR1polyG) that contain N-terminal polyglycine fused to either C-terminal FMR1 in-frame sequence or one of two FMR1 frame-shift sequences. The FMR1polyG-positive aggregates closely resemble neuronal intranuclear inclusions seen in polyglutamine diseases and other protein-mediated neurodegenerative disorders. (Ref.: Buijsen, RAM., et al. (2014). Acta Neuropathol. Commun. 2:162; Todd, PK et al. (2013). Neuron. 78(3); 440-455). |
| Specificity【特异性】 | Clone 8FM-2F7 specifically detects FMR1polyG in human cells. |
| Immunogen【免疫原】 | Ovalbumin-conjugated linear peptide with EAPLPGGVRQRGG sequence. Note: This protein is translated within the 5′UTR of the FMR1 gene and in a different frame resulting in a protein with different sequence and containing polyGlycine. Epitope: N-terminus |
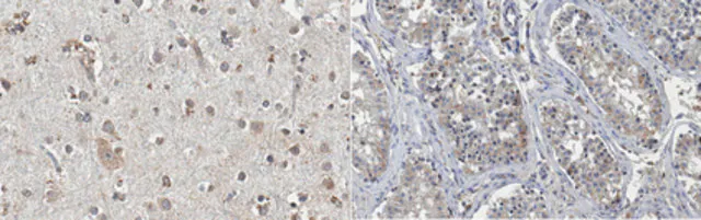
| Application【应用】 | Western Blotting Analysis: A 1:500 dilution from a representative lot detected FMR1polyG in lysate from HEK293 cells overexpressing FMR1polyG. Immunohistochemistry Analysis: A representative lot detected FMR1polyG in Immunohistochemistry applications (Buijsen, R.A., et. al. (2014). Acta Neuropathol Commun. 2:162; Sellier, C., et. al. (2017). Neuron. 93(2):331-347). Western Blotting Analysis: A representative lot detected FMR1polyG in Western Blotting applications (Sellier, C., et. al. (2017). Neuron. 93(2):331-347). Immunohistochemistry Analysis: A 1:50 dilution from a representative lot detected FMR1polyG in human cerebral cortex and human testis tissues. Immunofluorescence Analysis: A representative lot detected FMR1polyG in Immunofluorescence applications (Buijsen, R.A., et. al. (2014). Acta Neuropathol Commun. 2:162; Sellier, C., et. al. (2017). Neuron. 93(2):331-347). Research Category Neuroscience Anti-FMR1polyG, clone 8FM-2F7, Cat. No. MABN2280, is a highly specific mouse monoclonal antibody that targets Synaptic functional regulator FMR1 (FMR1polyG) and has been tested for use Immunofluorescence, Immunohistochemistry (Paraffin), and Western Blotting. |
| Quality【质量】 | Evaluated by Western Blotting in HEK293 cell lysates expressing FMR1polyG. Western Blotting Analysis: A 1:500 dilution of this antibody detected FMR1polyG in HEK293 cell lysates expressing FMR1polyG. |
| Physical form【外形】 | Mouse monoclonal antibody in ascites without preservatives. Unpurified |
| Other Notes【其他说明】 | Concentration: Please refer to lot specific datasheet. |
产品性质
| biological source【生物来源】 | mouse |
| antibody form【抗体形式】 | ascites fluid |
| antibody product type | primary antibodies |
| clone【克隆】 | 8FM-2F7, monoclonal |
| species reactivity | human |
| packaging【包装】 | antibody small pack of 25 μL |
| technique(s) | immunofluorescence: suitable immunohistochemistry: suitable (paraffin) western blot: suitable |
| isotype【同位素/亚型】 | IgG1κ |
| NCBI accession no.【NCBI登记号】 | NP_002015 |
| UniProt accession no.【UniProt登记号】 | Q06787 |
产品说明
| Target description【目标描述】 | ~35 kDa observed. Uncharacterized bands may be observed in some lysate(s). |
| Storage and Stability【储存及稳定性】 | Stable for 1 year at -20°C from date of receipt. Handling Recommendations: Upon receipt and prior to removing the cap, centrifuge the vial and gently mix the solution. Aliquot into microcentrifuge tubes and store at -20°C. Avoid repeated freeze/thaw cycles, which may damage IgG and affect product performance. |
| Disclaimer【免责声明】 | Unless otherwise stated in our catalog or other company documentation accompanying the product(s), our products are intended for research use only and are not to be used for any other purpose, which includes but is not limited to, unauthorized commercial uses, in vitro diagnostic uses, ex vivo or in vivo therapeutic uses or any type of consumption or application to humans or animals. |






